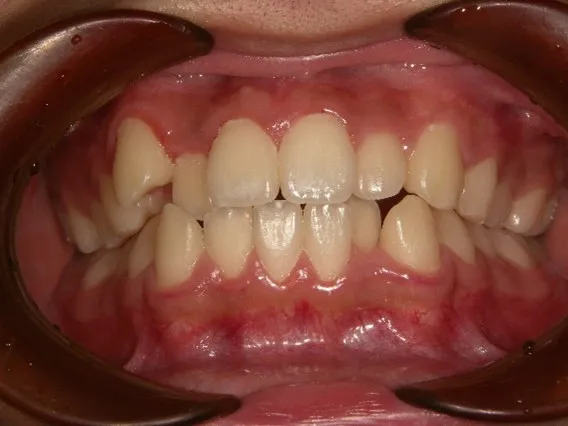
歯並びでこんなお悩みの方はいませんか?
- デコボコしている歯並びが気になる…
- 出っ歯が気になり、笑顔になれない
- 顎のしゃくれが気になる…
- 前歯などのすきっ歯が気になる
- 八重歯が気になり、歯並びが気になる
- よくむし歯になり、磨き残しがおおい
- 前歯のかみ合わせがうまくいかない
矯正歯科について

矯正歯科は、歯並びや噛み合わせを改善する治療を専門とする診療科です。歯に矯正装置を装着し、時間をかけて少しずつ歯を動かすことで、理想的な位置に整えます。多くの方が矯正治療を「見た目を整えるための審美的な治療」として捉えがちですが、それだけではありません。矯正治療は噛み合わせの改善も同時に行い、これにより身体全体の健康にも良い影響を与えることができます。
噛み合わせが悪いと、頭痛や肩こり、消化不良など、全身にさまざまな不調を引き起こす原因となることがあります。逆に、正しい噛み合わせは食事の消化を助け、病気のリスクを軽減し、全身の健康をサポートします。矯正治療は見た目だけでなく、心と身体の健康を向上させる重要な治療法です。
当院の矯正治療について
1. 歯並びが与える見た目と健康への影響
口元が顔の印象に与える影響は非常に大きく、歯並びが悪いと相手の視線が気になって自然に笑うことが難しくなり、会話の回数も減ってしまうことがあります。
しかし、歯並びの問題は見た目だけでなく、口の機能にも大きな影響を与えます。例えば、噛み合わせが悪いと内臓に負担がかかり、噛む回数が減ることで脳の発達が促進されない場合もあります。
また、歯が不揃いだと磨き残しが多くなり、むし歯や歯周病のリスクが高まり、結果として入れ歯が必要になる時期が早まることがあります。
2. 「大和東さくら歯科・矯正歯科」が提供する多様な矯正治療法
大和市の「大和東さくら歯科・矯正歯科」では、従来のワイヤー矯正だけでなく、目立ちにくく手入れが簡単なマウスピース型矯正装置も提供しています。この装置は、患者さまの負担を軽減しながら歯並びを整えることができます。
当院では、単に歯並びを改善するだけでなく、口腔全体の健康を考慮した包括的な治療を目指しています。例えば、矯正治療によって上顎を広げることで、鼻炎やいびきの改善が期待でき、さらには口呼吸の改善にもつながります。口呼吸はさまざまな健康問題を引き起こす原因となることが知られています。
3. 院長による矯正治療で安心のサポート体制
多くの歯科医院では、矯正治療の専門医が月に一度しか来院しないため、治療中のトラブルに迅速に対応できないことがあります。しかし、「大和東さくら歯科・矯正歯科」では、院長が矯正治療を直接手掛けており、治療中に何か問題があってもすぐに対応可能です。常に口を開けている、食事に時間がかかる、いびきをかくなどの症状がある場合は、ぜひ当院(大和東さくら歯科・矯正歯科 神奈川県)にご相談ください。
当院の矯正治療動画
矯正治療をおすすめする歯列の状態
矯正治療は、見た目の改善だけでなく、噛み合わせや発音の向上にも効果があります。歯並びが整うことで顔の印象が変わり、美しさや自信を高めることができます。以下の症状に心当たりがある方は、ぜひ一度ご相談ください。
出っ歯(上顎前突)

上の前歯が前方に突出している状態で、横から見ると目立つ特徴です。日本人に多く見られ、見た目だけでなく口元の形にも影響を与えます。この状態では食べ物を噛む際に不便を感じやすく、上下の歯が不自然に当たってしまうことがあります。これにより歯が削れる原因となり、発音にも影響を与える場合があります。
受け口(下顎前突)

下顎や下の前歯が前方に突出している状態で、口を閉じた際に目立ちます。この状態では、上下の歯がぶつかって削れやすく、噛み合わせの問題が消化不良や顎関節症の原因となることがあります。さらに、受け口は発音にも悪影響を与え、言葉が不明瞭になることがあります。
乱杭歯/叢生

歯がデコボコに並んでいる状態で、歯が大きすぎたり顎が小さいことが原因です。八重歯もこの一種に含まれ、見た目だけでなく、歯磨きの際に磨き残しが生じやすく、虫歯や歯周病のリスクが高まります。また、歯が重なっているため口腔内の清潔を保つのが難しく、歯周病や口臭のリスクが増大します。
開咬

上下の前歯が噛み合わず隙間ができる状態です。見た目が不自然で、正しい噛み合わせができないため、口呼吸をしやすくなる傾向があります。食べ物を噛み切る際に不便を感じやすく、口呼吸による口腔内の乾燥や感染症のリスクが高まることもあります。
すきっ歯/空隙歯列

歯と歯の間に隙間がある状態で、食べ物が挟まりやすく虫歯や歯周病のリスクが増します。また、余分な空気が漏れるため発音が不明瞭になり、笑顔にも自信を持てなくなることがあります。さらに、歯間に食べ物が詰まりやすく、これが口腔内トラブルの原因になります。
過蓋咬合

上の前歯が下の前歯を完全に覆う状態で、顎の関節に負担がかかり、顎関節症や肩こりの原因になることがあります。この状態では、咀嚼時に食物を効果的に噛み砕くことが難しく、顎の筋肉や関節に過度な負担をかけることから、慢性的な痛みを引き起こすこともあります。
矯正歯科のメリット・デメリット
メリット
●審美性の向上
矯正治療によって歯並びが整うことで、より美しい笑顔を手に入れることができます。その結果、自信を持って笑えるようになり、日常生活にポジティブな影響を与えます。
●横顔の改善
前歯の位置を調整することで、顔の横顔(プロファイル)が整い、全体の見た目のバランスが良くなります。これにより、顔全体の調和が取れ、魅力的な印象を与えることができます。
●噛み合わせの改善
矯正治療は見た目だけでなく、噛み合わせの改善にも効果を発揮します。良好な噛み合わせには以下の要素が含まれます。
●上下の歯が適切な位置でかみ合っていること、顎関節が安定した状態で噛み合っていること、全身の姿勢やバランスと調和した噛み合わせであること
噛み合わせが悪いと、歯だけでなく、顔の歪みや頭痛、肩こりなど全身の健康にも悪影響を及ぼす可能性があります。
デメリット
●発音への影響
矯正装置が舌に触れるため、最初は発音がしにくく感じることがあります。特に歯の裏側に装置がある場合、舌がぶつかって話しづらくなることもありますが、多くの場合、1ヶ月ほどで慣れ、発音の問題は徐々に改善されます。
●虫歯や歯周病のリスク
ワイヤー矯正は装置の着脱ができないため、歯ブラシが届きにくく、汚れが残りやすいです。これにより、むし歯や歯周病のリスクが高まることがあります。適切な歯磨きとケアが必要です。
●違和感や舌への痛み
矯正装置が装着されると、違和感を感じたり、舌が無意識に装置に触れて傷ができることがあります。これにより口内炎が発生し、痛みを伴うこともありますが、時間とともに違和感は軽減します。
●食事のしにくさ
硬いものを噛むのが難しくなったり、食べ物が矯正装置に挟まりやすくなることがあります。慣れるまで少し食事が不便に感じるかもしれませんが、時間とともに適応し、問題が軽減されることが多いです。
矯正歯科治療の種類
ワイヤー矯正

ワイヤー矯正は、歯に取り付けたブラケットにワイヤーを通して歯を動かしているという認識が一般的ですが、実際には歯の内部でより複雑なメカニズムが働いていることをご存知でしょうか?
ワイヤー矯正では、ワイヤーによってブラケットに力が加わり、歯に矯正力がかかります。この力が歯の根元に伝わると、圧力がかかる側の歯根膜(歯の根の周囲にあるクッションのような組織)が縮み、反対側の歯根膜は伸びます。これにより、圧力がかかった側の骨が溶け、歯が動くスペースが作られます。一方で、反対側では新しい骨が生成され、歯の位置が徐々に変わっていくのです。
このように、「矯正力を加える」「骨を溶かす」「骨を再生する」という過程を繰り返しながら、歯は少しずつ動いていきます。
ワイヤー矯正の種類
ワイヤー矯正と一口に言っても、実はさまざまな種類やオプションが存在します。ここではいくつかの代表的なものをご紹介します。

●クリアブラケット
最も一般的な矯正装置で、透明な素材を使用しているため目立ちにくいのが特徴です。
審美性を重視したい方に選ばれることが多いです。
マウスピース型矯正

透明なマウスピースを用いた着脱式の矯正装置です。非常に薄く、他人に気づかれにくいのが特徴で、食事や歯磨きの際に簡単に取り外せるため、衛生的です。
ただし、軽度の不正咬合しか対応できないという制約がありますが、審美的な観点から人気のある治療法です。
非抜歯で顎を広げる矯正治療 ~小児から成人まで~

現代の子ども達は、柔らかくて細かく刻んだ食物を多く摂取するようになり、その結果、顎の骨が成長せず歯が並ぶだけの十分なスペースがなくなってきています。そのため、成長期に矯正治療器具を使ってお子さんの顎を広げていく必要があります。ハイラックスやMSEと呼ばれる固定式の拡大装置を使用してあごを横に数mm広げて、前歯が並ぶスペースを確保します。その後ブラケットを装着して、形状記憶ワイヤーを使用して歯牙を並べていきます。歯を抜くことでスペースを作るのではなく、土台となる顎そのものを成長させていくことができます。
成人の方も可能な限りはを抜かずに、MSE(Maxillary Skelertal Expander)を用いることで上顎を拡大して歯並びを改善していくことが出来ます。
出来れば歯は抜かずに並べていけると、将来入れ歯になるリスクをすこしでも下げることが出来るかと思います。
拡大矯正治療のポイント
●必要な拡大量、年齢によりますが1日1~3回ほどねじを巻いて、拡大していきます。
●1~2ヶ月ぐらいで拡大が終了するのを目指します。拡大終了後も骨の状態が安定するまで3~6ヶ月ほどは入れたままにしておきます。
●食べ物が装置と歯肉の間に詰まることがあります。歯間ブラシなどを使って、綺麗に取り除いて下さい。
●会話は少しだけしづらくなることがあります。
器具を装着すると、少し会話がしづらいと感じる患者さんもいらっしゃいます。多くの場合、慣れて話せるようになっていきます。
●痛みが出ることがありますが、調整で改善します。
少しずつ力をかけて顎を広げていくため、装着直後は痛みを感じることがあります。ただし数日でなれることが多いです。
●費用
¥660,000~770,000(税込)
こども歯並び矯正治療法「プレオルソ」

小さなお子さんの歯並びを改善していく方法です。やわらかいマウスピースみたいな装置をお口の中に入れていくことで、歯並びにとって良くない力(悪習癖)が歯にかからないようにしていきます。良くない力がかからなくなった歯は、自然と正常な位置に近づこうとします。またスペースが足りない場合は、若干ですがプレオルソで拡大することが出来ます。
そして普段の正しい姿勢、口輪筋を鍛えるとさらに効果が出てきます。
※悪習癖とは、指しゃぶり、お口をポカンとあけたままでいる、舌癖(弄舌癖、舌突出癖)、頬杖、歯軋り、くいしばり、爪を噛む癖(咬爪癖)などがあります。指をしゃぶることで、前歯に力がかかり上の前歯が出っ歯になったり、前歯が噛み合わさらなくなったりします。
プレオルソのポイント
●メリットは?
年齢が若い段階から、歯並びを改善できます。
●デメリットは?
取り外しする事ができてしまうため、取り外している時間が長いと効果が出るのに時間がかかります。
●料金は?
¥88,000(税込)です。
前歯の矯正治療・部分矯正治療 ~第一印象が良くなる矯正~

前歯の歯並びって気になりますよね。でも矯正治療は時間も費用もかかるからと二の足を踏んでいる方も多いかと思います。そのため前歯を削って差し歯で歯並びをそろえる方もいます。確かに治療期間は大幅に短縮できますが、歯へのダメージは計り知れないものがあります。結果歯の寿命はかなり短くなってしまいます。そこで前歯だけの矯正治療です。前歯の歯並びのみに特化した治療になるのでかなり治療期間が短縮されます。費用も全体的な矯正治療の半分近くになります。
●治療期間はどのくらいかかりますか?
12~18ヶ月ぐらいで完了します。
●一日どれくらい装置を入れていますか?
基本的にはブラケットと呼ばれるものが歯に接着してあり、取り外すことは出来ません。なので装着時間などは気にする必要がありません。ブラケットと同時に装着するコントロール用マウスピースは、寝ている間だけ装着して下さい。
●装置は目立ちますか?
基本的に歯の裏側に装置をつけるので、よ~く見なければ他人が気づくことはありません。Be-Setlignで使用するブラケットは、通常サイズの1/4ぐらいと極小サイズになります。
●デメリット
部分的な矯正になりますので、全体のバランスを整えるのが難しいです。
●費用はどれくらいかかりますか?
相談は特別な費用は頂いておりません。矯正診断、矯正治療で上下で、¥550,000~¥660,000(税込)となっています。あとは1ヶ月に一度ワイヤー交換、装置の調整、状態の記録に通院して頂きます。部分矯正治療は、¥330,000(税込)となります。 その時に調整料、¥5,500(税込)がかかります。
矯正歯科治療の費用について
| ワイヤー矯正(ストレートエッジワイズ) | 660,000 ~ 880,000円(税込み) |
|---|---|
| マウスピース矯正(SureSmile) | 770,000 ~ 880,000円(税込み) |
| 矯正用インプラント(TADS) | 20,000円(税込み)(1本) |
| プレオルン | 100,000円(税込み)(約1年) |
症例写真
BEFORE
AFTER


BEFORE

AFTER

| 年齢 | 15歳 |
|---|---|
| 性別 | 男性 |
| 主訴 | 歯並び、噛み合わせ |
| 治療方法 | ワイヤー矯正、MSE矯正 |
| 治療期間 | 1年3ケ月 |
| 費用 | 660,000円 調整料 5,500円 |
| メリット | ・歯を抜かずに歯並びを整えられる ・睡眠時無呼吸症候群の改善口呼吸の改善 ・体への負担が軽い ・歯肉退縮のリスク軽減 |
| デメリット | ・しゃべりにくい ・歯磨きや食事に注意が必要 ・痛みや違和感を感じることがある |
矯正治療の流れ
01
カウンセリング、矯正治療相談
むし歯、歯周病チェックをするので保険証をお待ちください。
※むし歯、歯周病の治療が必要な場合、矯正治療の前に治療を行います。02
精密検査
口腔内写真、歯科用CTでの撮影、かみ合わせチェック、模型、型取りなど口腔内の状況をより精密に診査、診断させて頂きます。
03
矯正治療開始
治療開始後は、1か月に1回通院でワイヤーの調整、口腔内をチェックします。
※マウスピース矯正の場合、2か月に1回の通院となります。04
保定
矯正治療が終了したら、保定期間になります。そのあとも通院し、矯正治療を行った歯並びを確認します。
05
定期クリーニング
矯正治療中、治療後も口腔内の環境をよくするために定期的なクリーニングを行います。継続的な口腔内の維持が必要となります。
矯正歯科治療についてのQ&A
Q: 矯正治療はいつ頃から始めるといいのですか?
A: 一般的には“永久歯の前歯が生えた頃”や“大人の歯が生えそろった頃”が治療開始の目安とされていますが、歯並びやかみ合わせの状態によって適切なタイミングは異なります。 例えば、かみ合わせが原因で顎の成長方向がずれている場合は、乳歯の時期でも治療を開始することがあります。また、適切な治療開始時期まで様子を見ることもあります。そのため、かみ合わせに気になる点がある場合は、まず矯正臨床医に相談することをおすすめします。
Q: 歯並びを治すために歯を抜歯しないといけないのですか?
A: 当院(大和東さくら歯科・矯正歯科 神奈川)では極力歯を抜かない非抜歯矯正を推奨しておりますが、歯と顎のバランスを歯科用CTを使い、口腔内の状況を精密に検査させて頂いた後に治療を行います。その際に、歯を抜いたほうが良い歯並び、噛み合わせになり残りの歯を守ることになると考えられた場合は、その旨を説明させて頂き患者様に納得、ご理解して頂いた上で治療を行わせて頂きます。
Q矯正歯科の治療期間はどのくらいですか?
A:矯正治療には、患者さんの個人差や治療内容によって、治療期間が異なります。永久歯が全て生え揃ってからの治療では、通常約2年の期間が必要で、その後は2年程度の保定期間が必要です。また、永久歯が生え揃っていない場合や部分的な矯正治療の場合は、治療期間が短くて済む場合があります。 このように、矯正治療には個人差があるため、専門医によるカウンセリングや検査を受け、適切な治療計画を立てることが重要です。マウスピース型矯正装置(シュアスマイル)の治療期間は、約2年半であることが一般的です。他の矯正治療とほとんど差がないため、患者さんの状態に応じて治療法を選択することが大切です。
Q: 矯正装置により日常生活に支障が生じるのか?
A: 矯正装置をつけている場合の日常生活について、以下のような点について注意が必要です。
1.食事に注意をする必要があります。特に取り外せない固定式装置の場合、堅いものを噛んだり、氷やキャンディーを噛んだりすると、装置に過剰な力がかかって破損・脱落の可能性があります。矯正力をかけた治療直後の場合には、このような瞬間的で過剰な力がかかると痛みが強くなることもあります。
2,取り外し可能な矯正装置の場合、外してしまうことができるため、日常生活に支障は生じませんが、最小限に留める必要があります。長時間外していると治療効果が得られなくなります。
3.スポーツや楽器演奏には、取り外し可能な矯正装置を外すことができます。固定式の場合は、注意が必要です。
4.ガムは、シュガーレスであれば噛んでも問題ありません。ただし、矯正装置に絡みつく可能性があるため、注意が必要です。
矯正治療には患者さんの協力が必要であり、上記のような点に注意して生活することが大切です。矯正医師や歯科衛生士からのアドバイスに従い、治療期間中の日常生活を適切に調整するよう心がけましょう。ご予約お待ちしております。







